星空外围权威网

眼部扁平疣的症状和治疗方法 保护好心灵的窗户

发布时间:2017-12-20 14:08
标签: 眼部扁平疣
漂亮的眼睛会让人的外形更加的完美,但是有许多疾病都会影响到眼睛的美观,今天小编要跟大家说的就是眼部疾病眼部扁平疣...

 漂亮的眼睛会让人的外形更加的完美,但是有许多疾病都会影响到眼睛的美观,今天小编要跟大家说的就是眼部疾病眼部扁平疣,造成眼部扁平疣的病因有许多,细菌的直接感染或者生活中毛巾、衣物的间接感染等,那么有什么办法可以治疗眼部扁平疣呢?下面小编给大家简单的说一下。

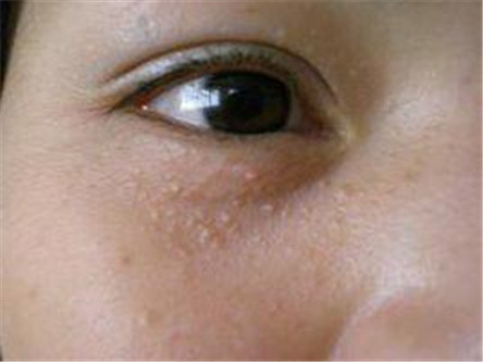
眼部扁平疣的症状

眼部扁平疣的症状和治疗方法 保护好心灵的窗户

1、扁平疣在初发病时,皮损发展及增多较快。因扁平疣的疣体中有大量活跃的病毒。

2、当局部被搔抓时,疣体表面和正常皮肤可产生轻微的破损,这时病毒很容易被接种到正常皮肤上而产生新的疣体,

3、扁平疣具有传染性,疣体在患处进行扩张当患者有意无意地搔抓患处,结果发现疣体越来越多,甚至沿抓痕呈串珠状排列或密集成片。

4、扁平疣多发于颜面、手背及前臂等处,表现为正常皮色或浅褐色的扁平丘疹,表面光滑,境界明显。患者一般无不适感,偶有微痒。

眼部扁平疣怎么治疗

眼部扁平疣的症状和治疗方法 保护好心灵的窗户

1、口服药物

 眼部扁平疣患者可以通过口服药物进行治疗,常见的有抗病毒药物,比如病毒灵,患者每次可以口服0.2克,一天可以使用3次,坚持1个月,一个疗程之后病人会明显好转。眼部扁平疣还可以使用0.2克的泛昔洛韦,每天可以使用2次,坚持一个月。一些具有增强免疫力的药物也可以治疗扁平疣,患者可以口服50毫克的左旋咪唑,一天服用三次,吃3天要停11天,然后再继续吃。眼部扁平疣患者还可以服维生素A2。一天服用三次口服溶菌霉,每次5~7片。也可以服用0.3-0.5克的乌洛托品。

2、注射药物

 有些注射药物也可以治疗眼部扁平疣。比如维生素B12,患者每天可以鸡肉注射100毫克,一个月为一个疗程。还可以皮押注射2毫克的转移因子,每个星期可以注射2次,一个月为一个疗程。眼部扁平疣还可以通过肌肉注射聚肌胞,每次可以注射2毫克,3天注射1次。眼部扁平疣患者还可以在皮损内进行注射,效果也是比较理想的。板蓝根注射液也适合治疗扁平疣,患者可以肌肉注射2毫升,每天注射2次,两个星期为一个疗程。

3、外用药物

 患者可以通过局部外用药物疗法,患处可以涂抹5%氟尿嘧啶软膏,第二天再涂抹1%金霉素软膏,反复交替使用,可以有效治疗扁平疣。患者还可以在患处涂抹0。1%维甲酸软膏或者50%雷锁辛溶液,一天可以涂抹2次,直到扁平疣消失。如果患者涂抹了上面几种药膏,皮肤出现发红或炎症的话,可以不用过于担心,也不用停药。

眼部扁平疣治疗注意事项

眼部扁平疣的症状和治疗方法 保护好心灵的窗户

治疗之前

1、瘢痕体质者做激光治疗时一定要慎重。

2、顾客的色素沉着斑等,如果是由于内分泌因素所致,这种病人除了进行激光去扁平疣的治疗,需要结合其他治疗,调整内分泌紊乱,使用退色药物,服用较大剂量的维生素C,日常多吃水果等。过一段时间,皮肤组织多数可恢复到正常,表浅瘢痕可平复,色素斑消退。

治疗之后

1、治疗后,因为皮肤比较细嫩要预防日晒。外出要涂(防晒指数20-30)防晒霜,严禁使用阿司匹林和酒精(包括含有酒精的化妆品),切不可挤、压、碰、磨擦治疗面。

2、治疗后因为皮肤的吸收能力增强,新陈代谢加快,部分顾客可能出现皮肤干燥缺水的情况,所以术后须皮肤护理来补充足够的水分和营养。

3、一周内不可使用甘醇酸、A酸等成分产品,刺激性大的物理性去角质产品也要避免使用。

4、避免用手抠抓局部病灶部位,防止病毒感染。

5、保持局部干燥清洁,以防感染。

治疗眼部扁平疣的偏方

眼部扁平疣的症状和治疗方法 保护好心灵的窗户

1、将荸荠削去皮,用其白色果肉摩擦疣体,每日3~4次。每次摩擦至疣体角质层软化、脱掉,微有痛感或点状出血时为止,一般数日可愈。

2、取菱蒂长约3cm,洗去污垢,在患部不断涂擦,每次2~3分钟,每日6~8次。

3、取鸡胗皮1只用温开水泡软,再将泡软的鸡胗皮撕成小块,磨擦患处,擦至皮肤微红有刺痛感时为度,每日早、晚各1次。通常连续治疗3~4周可平复。

发表评论
请自觉遵守互联网相关的政策法规,严禁发布色情、暴力、反动的言论。
评价:
用户名: 验证码:点击我更换图片
免责声明:本文仅代表作者个人观点,与妈妈宝宝网无关。其原创性以及文中陈述文字和内容未经本站证实,对本文以及其中全部或者部分内容、文字的真实性、完整性、及时性本站不作任何保证或承诺,请读者仅作参考,并请自行核实相关内容。
  • 眼部扁平疣
  • 眼部扁平疣的症状和治疗方法 保护好心灵的窗户
    眼部扁平疣的症状和治疗方法 保护好心灵的窗户
更多

相关推荐

 boyu·博鱼十大足球网(官方)网站/网页版登录入口/手机版登录入口-最新版(已更新) 靠谱永利体育(官方)网站/网页版登录入口/手机版登录入口-最新版(已更新) 朗驰娱乐最火足球网站(官方)网站/网页版登录入口/手机版登录入口-最新版(已更新) 正规188BET官方买球(官方)网站/网页版登录入口/手机版登录入口-最新版(已更新) 最大雷火竞技足球大全(官方)网站/网页版登录入口/手机版登录入口-最新版(已更新) 网络权威188BET大全(官方)网站/网页版登录入口/手机版登录入口-最新版(已更新) 雷火竞技最新权威(官方)网站/网页版登录入口/手机版登录入口-最新版(已更新) 真人知名腾曜集团盘口(官方)网站/网页版登录入口/手机版登录入口-最新版(已更新)